こんにちは。京都市伏見区にある「ひらうち歯科」です。
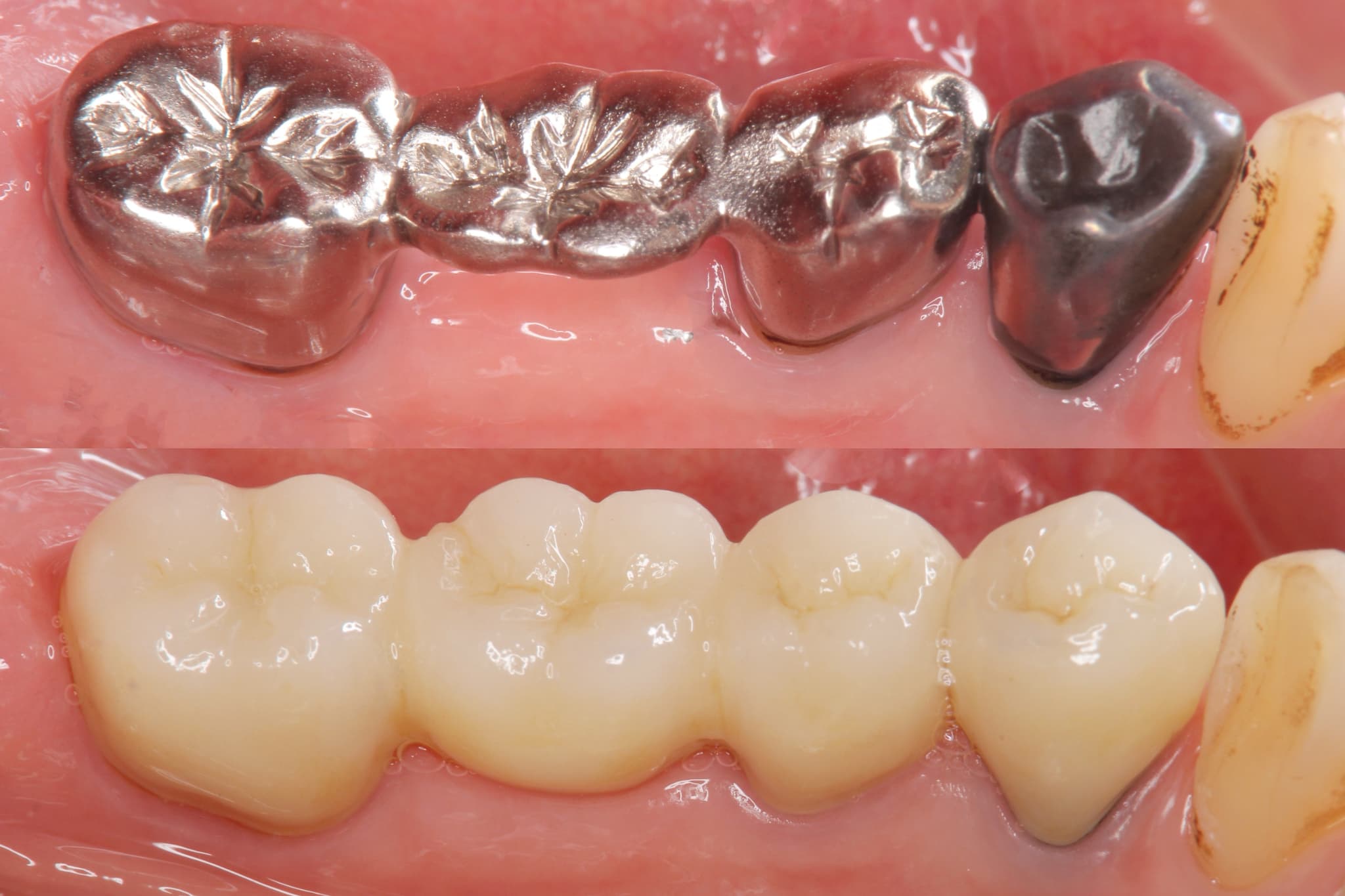
歯科治療を受けた際に、虫歯の詰め物や被せ物として銀歯を使用されている方もいらっしゃるでしょう。銀歯は保険診療で広く使われる金属素材であり、安価で強度にも優れているため、長年スタンダードな治療法として定着しています。
しかし、近年では審美性や健康面への配慮から「銀歯をセラミックに交換したい」というニーズが高まっています。特に口を開けた際に銀歯が目立つことを気にする方や、金属アレルギーに不安を感じる方にとって、セラミック治療は大きな選択肢となっています。
今回は、銀歯をセラミックに交換するメリットやデメリット、治療の流れ、費用などについて解説します。
目次
銀歯をセラミックに交換するメリット

ここでは、銀歯からセラミックに変えるメリットについて解説します。
自然な見た目になる
銀歯をセラミックに変える最大のメリットは、自然な見た目を実現できる点です。
セラミックは天然歯に近い色調や透明感を持っており、色のバリエーションも豊富なため、周囲の歯と違和感なく調和します。また、光の透過性も天然歯に近いため、口を開けたときの印象が大きく変わります。
金属アレルギーの心配がない
銀歯にはパラジウムやニッケルなどの金属が含まれており、長期間使用することで唾液によって溶け出し、アレルギー反応を引き起こすことがあります。
一方、オールセラミックやジルコニアなどのセラミック素材には金属が含まれていないため、金属アレルギーの症状が現れる心配がありません。
特に、過去に金属アレルギーの症状が出た方や、皮膚科でパッチテストを受けて金属アレルギーと診断された方には、セラミックへの交換が推奨されます。
歯ぐきが黒ずむ心配がない
銀歯の場合、金属イオンが溶け出して歯ぐきに浸透することで、歯ぐきが黒ずむことがあります。
しかし、オールセラミックやジルコニアなどのセラミック素材は金属を一切含まないため、このリスクがほとんどありません。
特に前歯や笑ったときに見える部分では、歯ぐきの色調が審美的に重要視されるため、セラミックへの交換が推奨されます。銀歯からセラミックに変えることで、歯ぐきの黒ずみを気にせず自然な見た目を維持できるのが大きなメリットです。
虫歯が再発しにくい
銀歯をセラミックに変えることで、虫歯の再発リスクが大幅に下がります。銀歯の場合、天然歯との間にわずかな隙間が生じやすく、そこから細菌が侵入して二次虫歯になることが少なくありません。
一方、セラミックは天然歯との適合性が高いため、隙間ができにくいのが特徴です。また、セラミックは表面が非常に滑らかでプラークが付着しにくく、口腔内を清潔に保ちやすいため、銀歯に比べて虫歯が再発するリスクが低いのです。
銀歯をセラミックに交換するデメリット

ここでは、治療前に知っておきたい銀歯をセラミックへ変える際のデメリットについて解説します。
割れることがある
セラミックは強度に優れていますが、金属のようなしなやかさはなく、強い力が一点に集中すると欠けたり割れたりする可能性があります。
特に歯ぎしりや食いしばりの癖がある方は注意が必要です。必要に応じて専用のマウスピースを装着するなどの対策をとることが推奨されます。
費用が高額になりやすい
セラミック治療は基本的に保険適用外となるため、銀歯に比べて費用が高くなる傾向があります。種類によっては1本あたり5万円から15万円程度かかることもあり、経済的な負担を感じる方も少なくありません。
長期的に見れば耐久性が高く再治療のリスクも減りますが、初期費用が大きい点はデメリットといえます。
銀歯からセラミックへ交換する治療の流れ

ここでは、銀歯からセラミックに交換する治療の流れについて解説します。
カウンセリングと診断
まずは歯科医院でカウンセリングを受け、現在の口腔内の状態を確認します。銀歯の状態や虫歯の有無、歯ぐきの健康状態を検査し、セラミック治療が可能かどうかを判断します。治療にかかる費用や期間についても、この段階で説明を受けるのが一般的です。
銀歯の除去と型取り
銀歯をセラミックに交換する際は、まず既存の銀歯を丁寧に除去します。その後、セラミックを正確に装着できるように歯を削り、形を整えたあとに型取りを行います。必要に応じて仮歯を装着し、見た目や噛み合わせを保ちながら過ごします。
セラミック装着と微調整
型取り後、約1〜2週間でセラミックの詰め物や被せ物が完成します。完成したセラミックを実際に歯に装着し、噛み合わせや見た目を確認します。違和感があれば細かく調整を行い、最終的に専用の接着材で固定します。
この段階で治療が完了し、自然な見た目と快適な噛み合わせを取り戻すことができます。
セラミック治療の費用

セラミック治療の費用は、使用する素材や治療部位によって異なりますが、1本あたりおおよそ5万円から15万円程度が一般的な目安です。審美性や耐久性を重視する場合、さらに高額になることもあります。
セラミック治療は原則として自費診療ですが、条件を満たす場合に限り一部保険適用となるケースもあります。たとえば、前歯のCAD/CAM冠などが該当しますが、すべての歯や症例が対象ではないため、事前に歯科医師に確認することが重要です。
セラミック治療にかかる期間と通院回数

銀歯をセラミックに交換する場合、一般的な治療期間の目安は約2〜4週間程度です。初回の診察で銀歯の除去と歯の型取りを行い、その後セラミックの詰め物や被せ物が完成するまでに1〜2週間かかります。
完成後、最終的な装着と調整を行うため、通院回数は通常2〜3回が目安です。
ただし、虫歯の進行や歯ぐきの状態によっては治療期間が延びることもあるため、事前に歯科医師とスケジュールを確認することが大切です。
セラミック治療後のケアと注意点

ここでは、セラミック治療後のケアと注意点について解説します。
毎日の歯磨き習慣
セラミックはプラークや汚れが付きにくい素材ですが、歯磨きを怠ると周囲の歯や歯ぐきに悪影響を及ぼします。特に歯とセラミックの境目には汚れが溜まりやすいため、丁寧なブラッシングが欠かせません。
歯ブラシだけでなくデンタルフロスや歯間ブラシを併用すると、より効果的に清潔な状態に保てます。
定期的な歯科検診
治療後も半年に1回は歯科検診を受け、セラミックの状態や噛み合わせをチェックしてもらうことが望ましいです。早期に異常を発見できれば、大きなトラブルを防ぐことができます。
また、専門的なクリーニングによって、普段の歯磨きでは落としきれない汚れを除去することもできます。
食生活への配慮
セラミックは強度が高いものの、硬い食べ物を過度に噛むと割れるリスクがあります。氷やアメなどを噛む習慣は避けたほうが安心です。
また、コーヒーや赤ワインなど色素の強い飲み物は、セラミック自体は変色しにくいものの、歯の表面に着色汚れを残す可能性があるため注意が必要です。
歯ぎしりや食いしばりの対策
歯ぎしりや食いしばりの癖がある方は、セラミックに過度な力がかかり、欠けや割れにつながることがあります。その場合は、就寝時に専用のマウスピースを装着するなど、対策をとることが推奨されます。
長期的なメンテナンスの重要性
セラミック自体は経年劣化しにくい素材ですが、土台となる天然歯や歯ぐきの健康が損なわれると長持ちしません。定期的なケアを続け、口腔全体の健康を守ることが、結果としてセラミックを長持ちさせる秘訣となります。
まとめ

銀歯をセラミックに交換することには、見た目の自然さや金属アレルギーの回避、清潔さを保ちやすいといった大きなメリットがあります。
一方で、費用が高額になりやすい点や割れる可能性がある点など、考慮すべきデメリットも存在します。そのため、治療を検討する際は、事前に十分な情報を集め、歯科医師と相談して自分に合った治療方法を選ぶことが大切です。
治療の流れは、カウンセリングから銀歯の除去、型取り、セラミックの装着といったステップを経て行われ、通常は数回の通院で完了します。治療後は丁寧にセルフケアを行い、定期的に検診を受けることで、長期間にわたり美しい状態を維持できます。
セラミック治療は、単なる審美的な改善にとどまらず、将来的な口腔内の健康維持にもつながります。初期費用は高くても、長期的な視点で見ると大きな価値がある選択肢といえるでしょう。
セラミック治療を検討されている方は、京都市伏見区にある「ひらうち歯科」にお気軽にご相談ください。
当院では、一般歯科だけでなく小児歯科や矯正歯科、審美歯科の診療も行っています。診療案内はこちら、ネット予約も24時間受け付けておりますので、ぜひご活用ください。



ひらうち歯科



